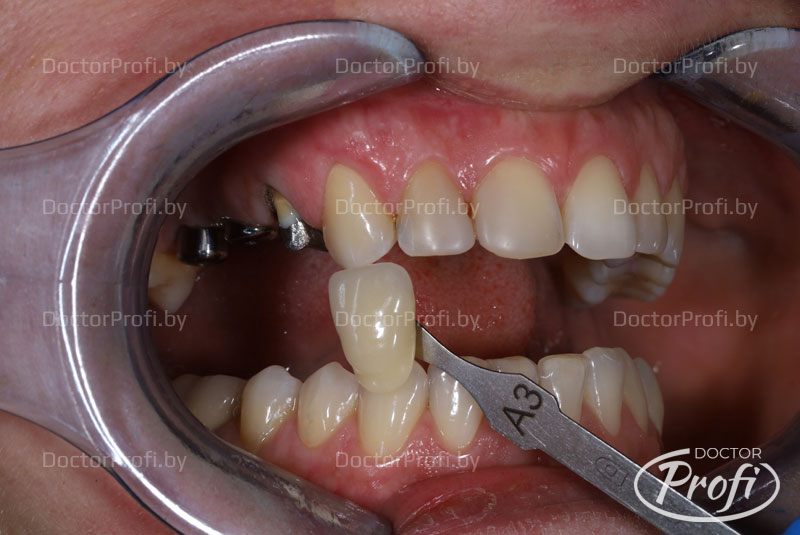
Пациент обратился в клинику «Доктор ПРОФИ» с целью эстетической реставрации зубов.
Что сделано:
- Имплантация в боковом отделе верхней челюсти справа в области 15, 16 с последующим изготовлением циркониевых коронок на импланты,
- Замена металлокерамических коронок на зубах 14, 24, 25 циркониевыми коронками.
Результат:
Восстановлена эстетика и функциональность зубов. Пациент доволен результатом.
До
После
Фотографии работы
До
После
Лечение проводили





