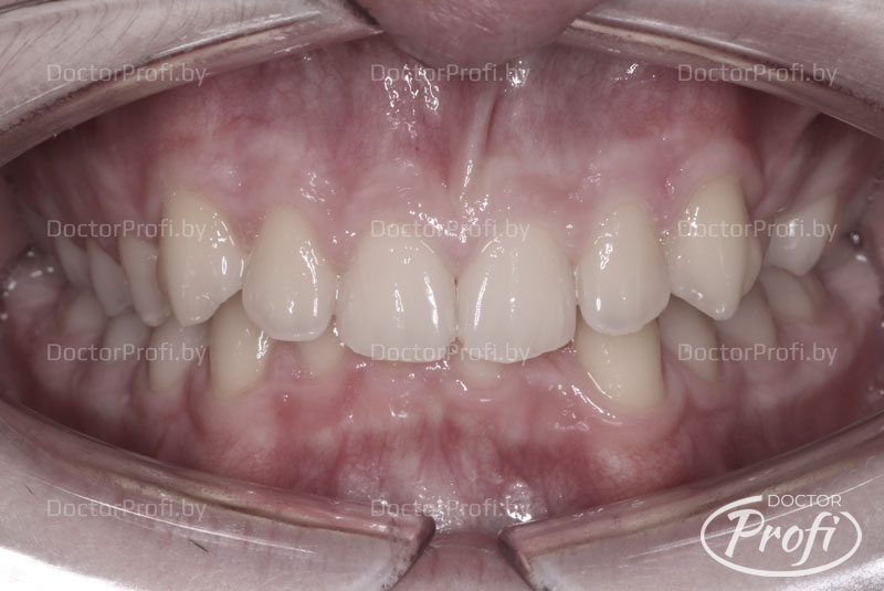
Пациентка, 14 лет, жалобы на дистальный глубокий травмирующий прикус, перекрестный слева, сужение и укорочение зубных рядов, скученность зубов, небное положение второго премоляра слева, признаки бруксизма, стираемость.
Что сделано:
- Комплексная диагностика с компьютерной 3D томографией,
- Профессиональная гигиена,
- Проведена коррекция прикуса с использованием самолигирующей металлической брекет-системы Damon Q.
Результат:
Срок лечения составил 13 месяцев. В результате проведенного лечения выполнено расширение зубного ряда, выравнивание зубов, получили хорошее функциональное и эстетическое состояние.
До
После
Фотографии работы
До
После
Лечение проводили









