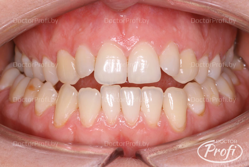
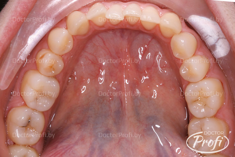
Пациентка обратилась в клинику с жалобами на неэстетичный зубной ряд. Возраст - 30 лет. На консультации у ортодонта были выявлены следующие проблемы с прикусом: двусторонний перекрестный прикус, открытый прикус в переднем отделе, сужение зубных дуг, скученное положение резцов верхней и нижней челюсти, относительная микродентия зубов 12, 22, инфантильный тип глотания.
Что сделано:
- Комплексная диагностика с компьютерной 3D томографией.
- Проведена коррекция прикуса.
- Улучшена форма зубных рядов и положение зубов.
- Ортодонтическое лечение проводилось брекет-системой DamonQ.
- Установлены несъёмные ретейнеры.
- Проведена реставрация зубов 12, 22.
Результат:
Срок лечения составил 15 месяцев. В результате проведенного лечения пациентка обрела красивую улыбку, правильный прикус, ровные и здоровые зубы.
До
После
Фотографии работы
До
После
Лечение проводили









