Online запись
Online запись
Выбрать направление
Выбрать
Назад
  • doctor
    • date
    • 13:50

Ваши данные

успех
Вы записаны к доктору , на

Исправление глубокого дистального прикуса брекет-системой Damon

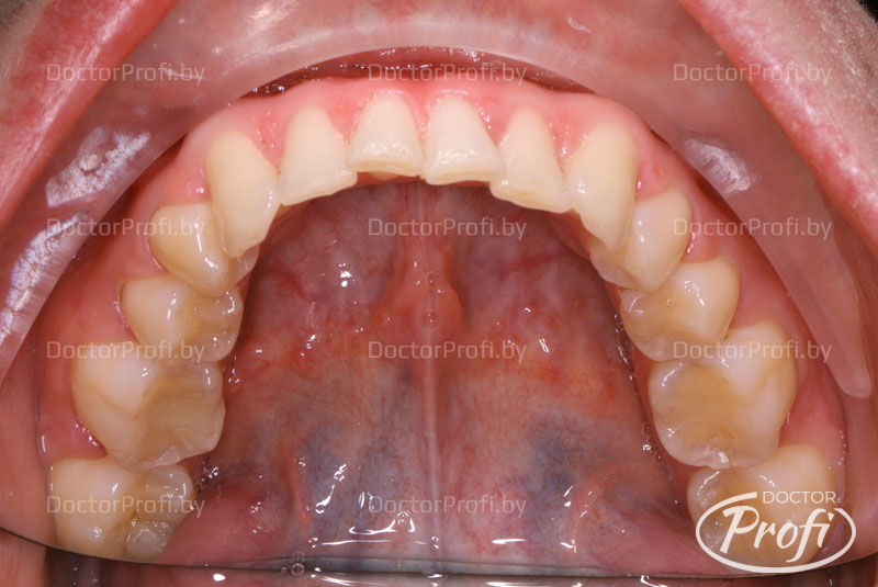
Пациентка обратилась в клинику с жалобами на неэстетичный зубной ряд. Возраст - 29 год. На консультации у ортодонта были выявлены следующие проблемы с прикусом: дистальный прикус, глубокое перцовое перекрытие, сужение и укорочение зубных рядов, повороты зубов, скученность.

Что сделано:

  • Комплексная диагностика с компьютерной 3D томографией.
  • Проведена коррекция прикуса без удаления Зубов. Улучшена форма зубных рядов и положение зубов.
  • Ортодонтическое лечение проводилось брекет-системой Damon Q.
  • Установлены несъёмные ретейнеры.

Результат:

Срок лечения составил 12 месяцев. В результате проведенного лечения пациентка обрела красивую улыбку, правильный прикус, ровные и здоровые зубы.

До
После
Фотографии работы
До
После
Лечение проводили
сильные стороны «доктор профи»
Максимальный комфорт
Полное отсутствие любых неприятных ощущений
Экономия времени
Возможность решения всех проблем за один прием
Сокращение периода реабилитации
Достигается путем введения ряда препаратов во время манипуляций
Минимум противопоказаний
Ввиду высокой безопасности процедуры имеют минимум противопоказаний