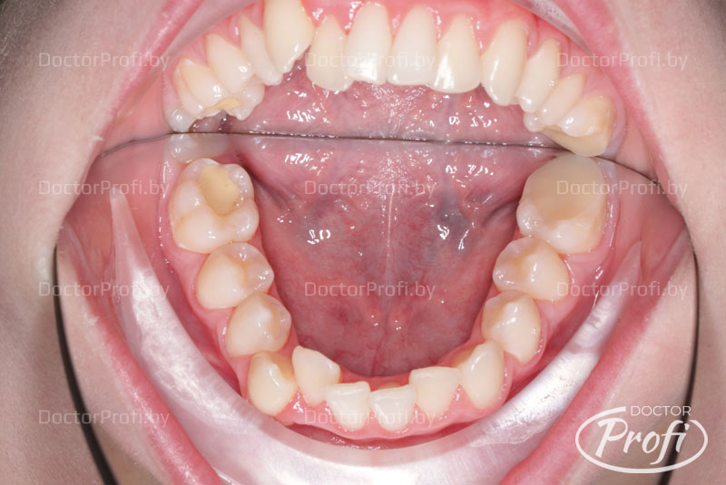
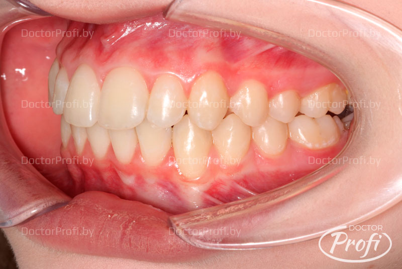
Пациентка обратилась в клинику с жалобами на неэстетичный зубной ряд.
Что сделано:
- Комплексная диагностика с компьютерной 3D томографией.
- Проведена коррекция прикуса. Исправлена форма зубных рядов и положение зубов.
- Ортодонтическое лечение проводилось самолигирующей брекет-системой
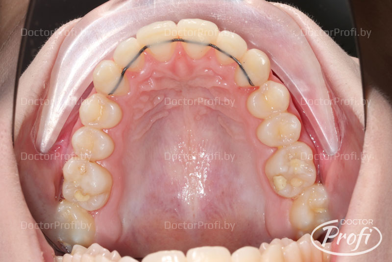
- Установлены несъёмные ретейнеры.
Срок лечения 13 месяцев.
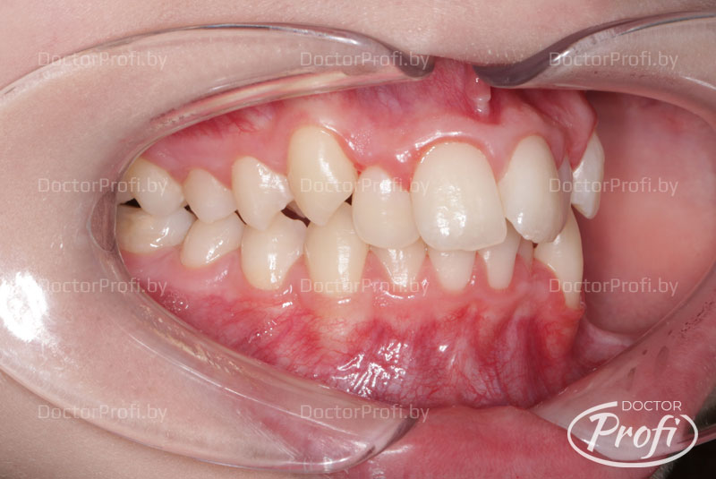
В результате ортодонтического лечения пациентка обрела красивую улыбку, правильный прикус, ровные и здоровые зубы.
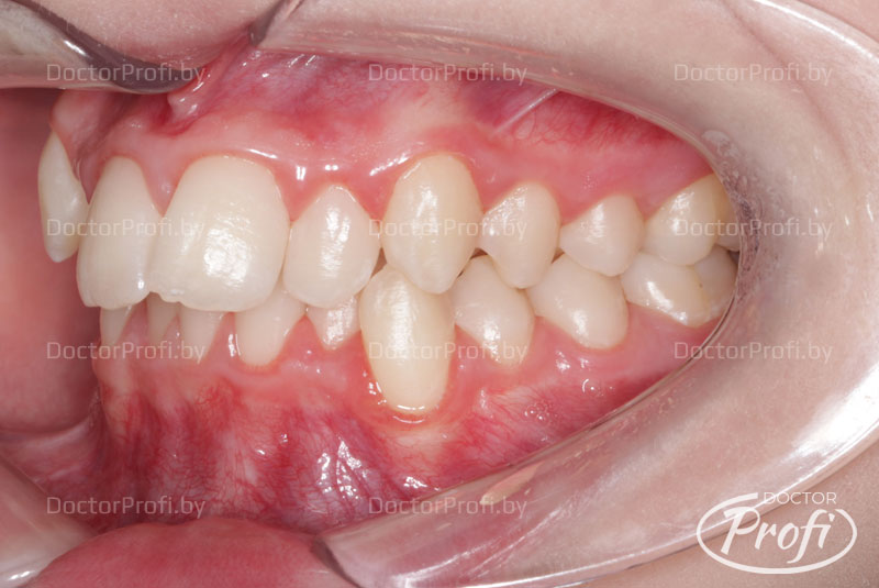
До
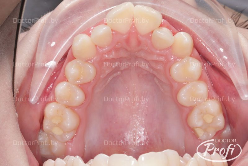
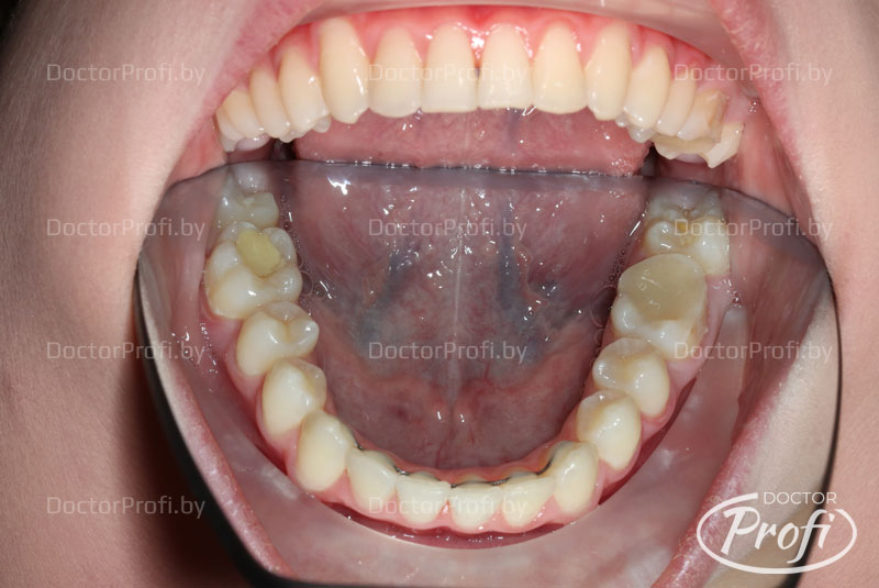
После
Фотографии работы
До
После
Лечение проводили














