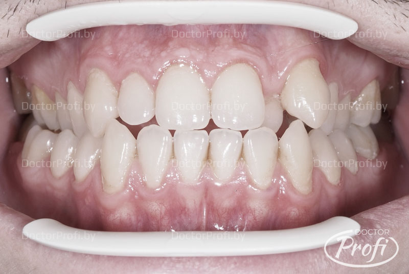
Пациент обратился в клинику c жалобами на сложность при жевании и эстетику улыбки из-за перекрёстнго прикуса и обратного перекрытия бокового резца.
Что сделано:
- Комплексная диагностика с компьютерной 3D томографией.
- Профессиональная гигиена полости рта.
- Исправление положения передних зубов брекет-системой Damon Q.
Результат:
Срок лечения составил 1.5 года. Благодаря использованию современной брекет-системы в короткие сроки был устранён двусторонний перекрёстный прикус, получен хороший эстетический и функциональный результат.
До
После
Фотографии работы
До
После
Лечение проводили





