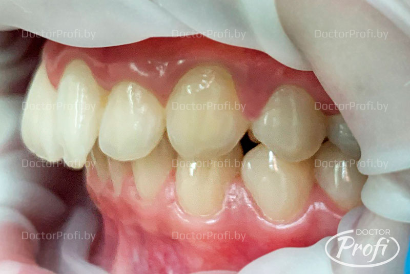
Пациентка обратилась в клинику с жалобами на неэстетичный зубной ряд. Возраст - 19 лет. На консультации у ортодонта были выявлены следующие проблемы с прикусом: дистальный глубокий прикус, сужение и укорочение зубных дуг, скученное положение резцов верхней и нижней челюсти
Что сделано:
- Комплексная диагностика с компьютерной 3D томографией. Боковая телерентгенограмма головы (ТРГ).
- Проведена коррекция прикуса. Улучшена форма зубных рядов и положение зубов.
- Исправлено вестибуляное положение клыков.
- Ортодонтическое лечение проводилось брекет-системой DamonQ.
- Установлены несъёмные ретейнеры.
Срок лечения 17 месяцев.
В результате ортодонтического лечения пациентка обрела красивую улыбку, правильный прикус, ровные и здоровые зубы.
До
После
Фотографии работы
До
- 01,

- 03,

- 02,

После
Лечение проводили






