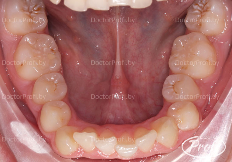
Пациентка обратилась в клинику с жалобами на неэстетичный зубной ряд. На консультации у ортодонта были выявлены следующие проблемы: глубокий прикус с сужением верхнего и нижнего зубных рядов, скученное положение резцов.
Что сделано:
- Комплексная диагностика с компьютерной 3D томографией.
- Проведена коррекция прикуса. Исправлена форма зубных рядов и положение зубов.
- Ортодонтическое лечение проводилось самолигирующей брекет-системой
- Реставрации были выполнены врачом-стоматологом терапевтом Зайцевой Е.А.
- Установлены несъёмные ретейнеры.
Срок лечения 13 месяцев.
В результате ортодонтического лечения пациентка обрела красивую улыбку, правильный прикус, ровные и здоровые зубы.
До
После
Фотографии работы
До
После
Лечение проводили








