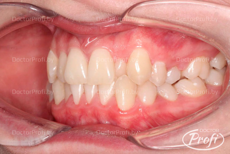
Пациентка обратилась в Доктор Профи с желанием улучшить эстетику своей улыбки. Наибольшее беспокойство у нее вызывали неровные передние зубы и отсутствие места для бокового резца на верхней челюсти.
Что сделано:
В ходе диагностики был проведен:тщательный осмотр полости рта, выполнены КЛКТ зубочелюстной системы, 3D-фотометрия лица и фотопротокол.
На основании полученных данных был установлен диагноз: двусторонний буккально-перекрестный прикус со смещением нижней челюсти вправо, дистальное соотношение зубов справа и тенденция к мезиальному прикусу слева; сужение и укорочение зубных дуг; скученное положение резцов на верхней и нижней челюсти с полным дефицитом места для зуба 22, а также истирание твердых тканей зуба 22 в пределах дентина; множественные ротации зубов и смещение центральной линии верхней челюсти влево на 3 мм.
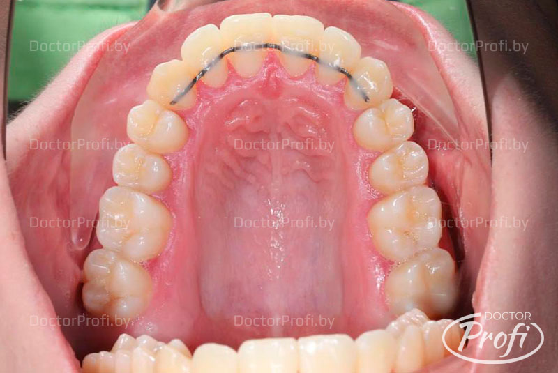
Лечение проводила врач-ортодонт Дегтерева Илона Валерьевна с использованием самолигирующей брекет-системы Damon Q2 на обеих челюстях с избирательной пришлифовкой эмали на контактных поверхностях зубов во фронтальном отделе.
После снятия брекет-системы были установлены ретейнеры, а эстетическая реставрация зуба 22 была выполнена стоматологом-терапевтом высшей категории медицинского центра «Доктор Профи» Заблотской Екатериной Николаевной.
В результате проведенного лечения удалось достичь впечатляющих эстетических и функциональных результатов, что позволило пациентке обрести уверенность в своей улыбке











