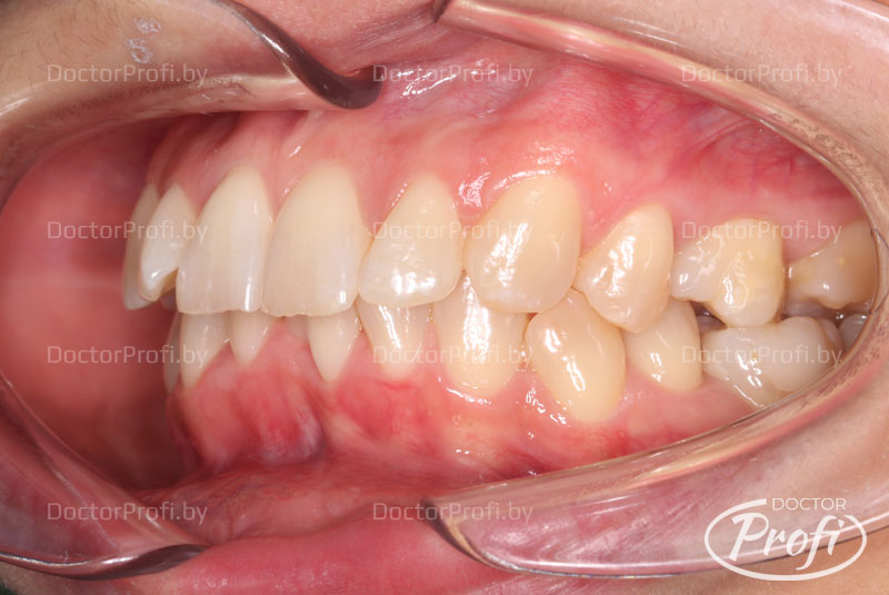
Пациентка обратилась в клинику с жалобами на неэстетичный зубной ряд, значительное перекрытие нижних зубов верхними.
Что сделано:
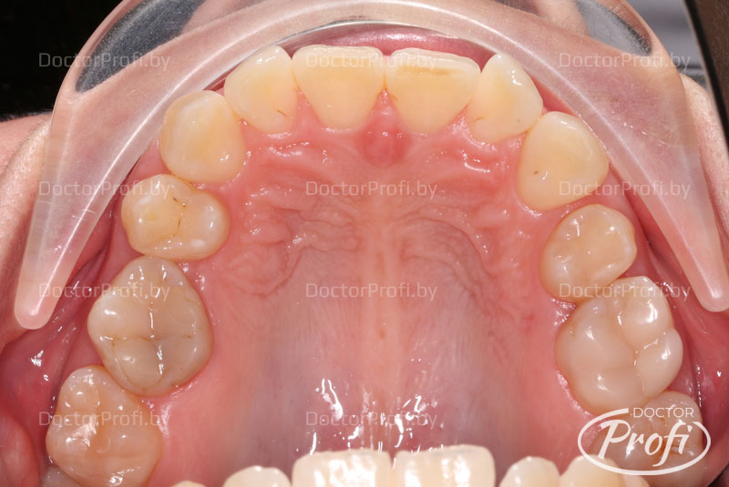
- Комплексная диагностика с компьютерной 3D томографией.
- Санация полости рта.
- Улучшена форма зубных рядов и положение зубов.
- Ортодонтическое лечение проводилось брекет-системой Damon Q.
- Установлены несъёмные ретейнеры.
Результат:
В результате проведенного лечения пациентка обрела красивую улыбку, правильный прикус, ровные и здоровые зубы.
До
После
Фотографии работы
До
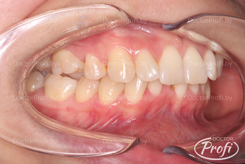
После
Лечение проводили












