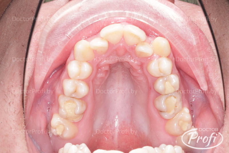
Пациент обратился в клинику с жалобами на неэстетичный зубной ряд, скученность зубов.
Что сделано:
- Комплексная диагностика с компьютерной 3D томографией.
- Санация полости рта.
- Улучшена форма зубных рядов и положение зубов.
- Ортодонтическое лечение проводилось брекет-системой Damon.
- Установлены несъёмные ретейнеры.
Результат:
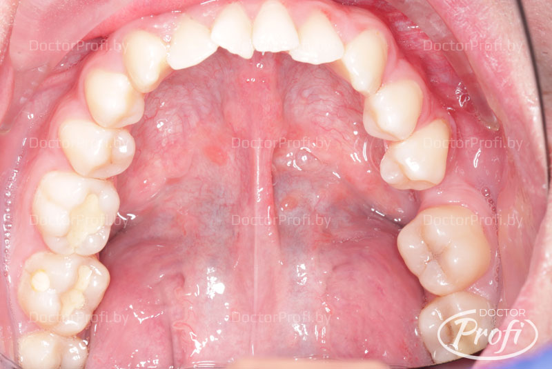
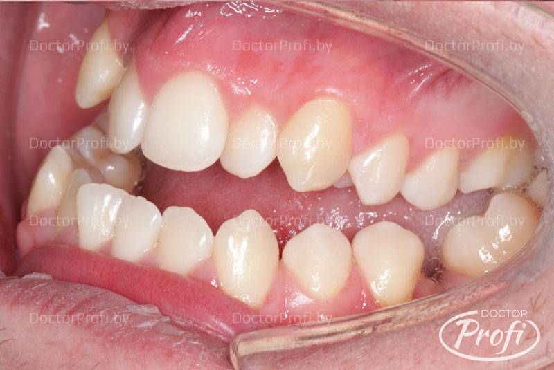
В результате проведенного лечения пациент обрел красивую улыбку, правильный прикус, ровные и здоровые зубы.
До
После
Фотографии работы
До
После
Лечение проводили













