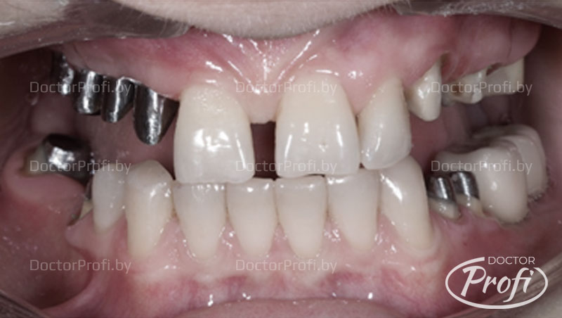
Пациент обратился в клинику «Доктор ПРОФИ» для комплексной реабилитации с желанием восстановить отсутствующие зубы, закрыть щель между центральными резцами и улучшить улыбку.
Что сделано:
- Диагностический этап – сбор данных (диагностические модели, сканирование моделей, КЛКТ, 3D планирование протеза и реставраций на зубах)
- Хирургический этап - установлены дентальные импланты MIS
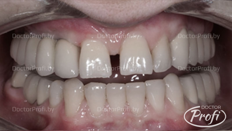
- Ортопедический этап - зубные ряды восстановлены металлокерамическими коронками с опорой как на имплантаты, так и на собственные зубы.
- Терапевтический этап – проведено офисное отбеливание зубов и коррекция формы центральных зубов композиционным материалом для закрытия диастемы.
Результат:
Восстановлена эстетика и жевательная функция в полном объеме.
До
После
Фотографии работы
До
После
Лечение проводили







