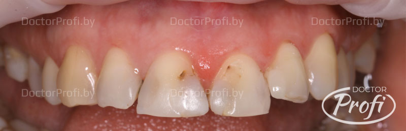
Клиническая ситуация:
Пациентка К. обратилась с жалобами на неудовлетворительное состояние реставраций передних зубов, планирует протезирование в ближайшее время.
Лечение
Произведена замена реставраций 4х верхних зубов с коррекцией цвета и формы. Далее пациентка проходит плановую подготовку к протезированию.
До
После
Фотографии работы
До
После
Лечение проводили





