Диагноз:
Частичная вторичная адентия нижней челюсти. Зуб 3.7 разрушен выше уровня десны, зуб 3.6 отсутствует.
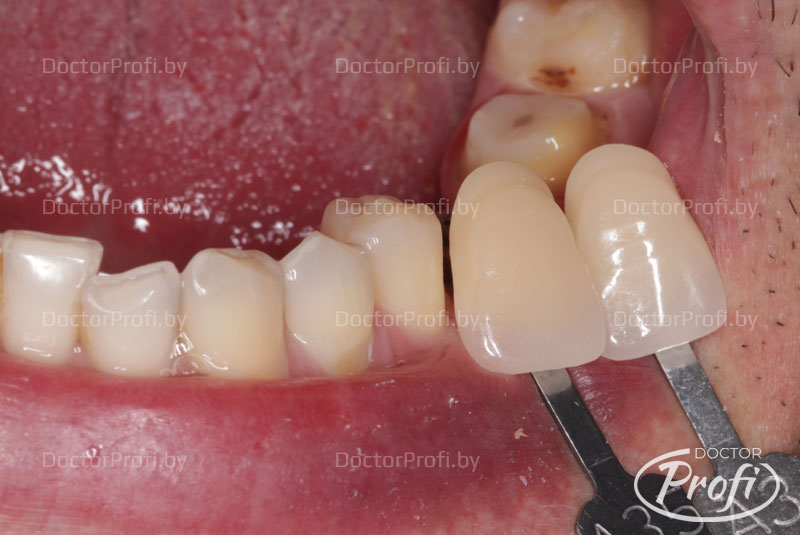
Что сделано:
- Установлен имплантат MegaGen AnyRidge в области 3.6.
- Зуб 3.7 укреплен стекловолоконным штифтом.
- Установка искусственной коронки из диоксида циркония с опорой на имплантат 3.6.
- Установка металлокерамической коронки с опорой на зуб 3.7.
Результат:
Восстановлена эстетика и функциональность зубов. Пациент доволен результатом.
Врачи:
- Стоматолог-хирург-имплантолог Савицкий П.В.
- Стоматолог-ортопед Макейчик Д.А.
До
После
Фотографии работы
До
После
Лечение проводили







