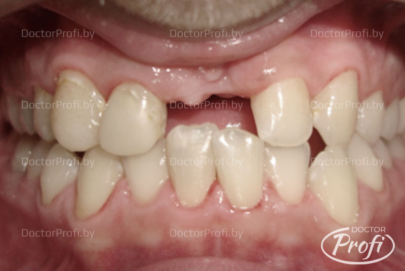
Клиническая ситуация пациента – дефект верхнего зубного ряда между передними зубами вследствие травмы, полученной более 5 лет назад, скученность зубов. Необходимо получить адекватное пространство для рационального протезирования. Пациенту провели малоинвазивное комплексное лечение.
Что сделано:
- Профессиональная гигиена,
- Ортодонтическое лечение брекет системой Damon System,
- Протезирование,
- Несъемные ретейнеры,
Результат:
После комплексного лечения (14 месяцев) было достигнуто не только восстановление дефекта верхнего зубного ряда, но и выравнивание положения зубов, зубных рядов, прикуса. И что важно улучшение эстетических показателей и восстановление жевательной эффективности.
До
После
Фотографии работы
До
- 01,

- 05,

- 03,

После
Лечение проводили






