Пациентка обратилась в клинику с жалобами на "узкую улыбку" и плохое жевание, отсутствие жевательных зубов.
Что сделано:
- Комплексная диагностика с компьютерной 3D томографией.
- Санация полости рта.
- Профессиональная гигиена полости рта.
- Ортодонтическое лечение брекет-системой Damon Q.
- Имплантация в области ранее удалённых зубов.
- Укрепление передних зубов ретейнерами.
- Защитные капы.
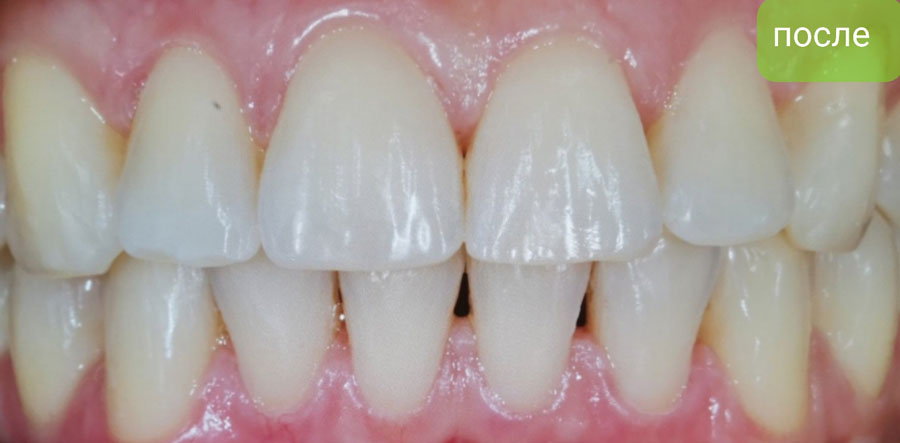
В результате лечения мы получили хорошее функциональное и эстетическое состояние. Лечение брекет-системой помогло пациентке обрести красивую улыбку и правильный прикус.
До
После
Фотографии работы
До
- 01,

После
Лечение проводили



